Common Immunohistochemical Markers for Fibroblastic Tumors, Myofibroblastic Tumors, and Fibrohistiocytic Tumors
Note:The suffix ‘-blastic’ in the English names of fibroblastic and myofibroblastic cells is translated differently; some translate it as the corresponding ‘mother’ cell. This article follows the currently approved relevant scientific and technical terms, uniformly translating it as ‘fibroblastic’ and ‘myofibroblastic’.
The corresponding lesions and tumor types for this group of cells are complex, and generally, there are no specific immunohistochemical markers. Details are shown in Table 1 and Table 2. Commonly used immunohistochemical markers include Vimentin, Actin, Desmin, CD34, and CD68.
Table 1. Common Immunohistochemical Markers for Diagnosing Fibroblastic/Myofibroblastic Tumors

(Click to view larger image)
Table 2. Common Immunohistochemical Markers for Diagnosing Fibrohistiocytic Tumors

(Click to view larger image)
Remarks:
-
CD68 and CD45 are only expressed in multinucleated cells.
Detailed Explanation of Some Markers
Positive Expression Pattern: Cytoplasm
Recommended Positive Control Tissue: Appendix
Vimentin is a member of the type III intermediate filament family, expressed in all mesenchymal cells, and is an important component of the cytoskeleton in these cells. The type III intermediate filament family includes Vimentin, Desmin, GFAP, and peripherin. Regarding Vimentin, it is generally expressed in the early embryonic development of all primitive cells and is replaced by other intermediate filaments as they mature and differentiate.
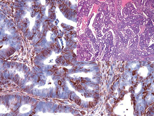
It is important to note that Vimentin has limited value when used as a single marker because many epithelial cells and corresponding tumors co-express Vimentin and different CKs, such as lung cancer, salivary gland carcinoma, liver cancer and cholangiocarcinoma, thyroid cancer, adrenal cortical carcinoma, renal cell carcinoma, endometrial carcinoma, gonadal carcinoma, and meningioma. Generally, poorly differentiated carcinomas may express Vimentin while losing CK expression, ultimately forming a sarcomatoid phenotype. Therefore, from a practical diagnostic perspective, Vimentin can only be used as one of the markers in a panel of diagnostic antibodies.

Figure 1. In endometrial carcinoma, the tumor glands strongly express Vimentin.
STAT6 is a member of the STAT family of cellular transcription factors, involved in modulating signal transduction between DNA promoters and cell receptors. Solitary fibrous tumors have a characteristic genetic abnormality, namely inversion inv. (12)(q13;q13) on chromosome 12, leading to NAB2-STAT6 fusion transcription and overexpression of STAT6 protein, which is an important feature in the immunohistochemistry of solitary fibrous tumors. This genetic abnormality also affects the promoter of the ERG-1 gene, which is another indicator for confirming this tumor.

Figure 2. Solitary fibrous tumor, immunohistochemistry shows strong nuclear expression of STAT6.
However, STAT6 overexpression can also occur in a few other mesenchymal tumors, such as meningeal hemangiopericytoma (with the same genetic abnormality), some dedifferentiated liposarcomas, and desmoid tumors.
MUC4 has been discussed in previous chapters; in addition to being expressed in glandular epithelial tumors, MUC4 expression is also a characteristic marker for low-grade fibromyxoid sarcoma, sclerosing epithelioid fibrosarcoma, and biphasic synovial sarcoma.
MaiMai Recommendation: “Immunohistochemistry has the characteristics of strong specificity, high sensitivity, and accurate localization, playing a significant and positive role in pathological diagnosis. However, the performance and quality of antibodies affect diagnostic results. This issue of MaiMai recommends the following antibodies; you might want to try them.”
|
Antibody Name
|
Clone Number
|
Positive Control
|
Cellular Localization
|
|
MUC4
|
8G7
|
Colon, Lung Adenocarcinoma
|
Cytoplasm
|
|
STAT6
|
EP325
|
Solitary Fibrous Tumor
|
Nucleus/Cytoplasm
|
|
Vimentin*
|
MX034
|
Gastrointestinal Stromal Tumor, Appendix
|
Nucleus
|
*Marked as MaiXin clone products
For more information, please contact: 800-8581156 or 400-889-9853