Hotspot Focus

Twelfth Issue of “Mai Mai” Pathology Weekly Reading Notes | Immunohistochemical Markers for Pancreatic Tumor Diagnosis




Preface:


Pancreatic tumors are one of the common malignant tumors of the digestive tract, mostly occurring in the head of the pancreas. The vast majority of pancreatic tumors originate from the epithelial tissue of the pancreas.The diagnosis of pancreatic cancer in clinical practiceis relatively difficult.Because the anatomical location of the pancreas is deep and sampling is difficult, clinically obtained pancreatic cancer specimens are also relatively few. In pathological diagnosis, the most commonPancreatic Canceris pancreatic ductal adenocarcinoma, followed by pancreatic acinar cell carcinoma, small cell carcinoma, as well as undifferentiated carcinoma, neuroendocrine tumors, etc. This content mainly introduces and organizes the commonly used immunohistochemical markers for pancreatic tissue lesions.



图片

Common Immunohistochemical Indicators for Pathological Diagnosis of Pancreatic Neuroendocrine Tumors

图片

(Click to view larger image)


Common Immunohistochemical Indicators for Pathological Diagnosis of Other Pancreatic Tumors 

图片

(Click to view larger image)


Detailed Explanation of Individual Indicators


1



 CA19-9

Positive Expression Pattern: Cytoplasm

Recommended Positive Control Tissue: Pancreatic Tissue


In terms of function, CA19-9 is a ligand for the adhesion molecule E-selectin. Normally, it is expressed on the apical surface of ductal epithelium in the breast, salivary glands, apocrine glands, and the intrinsic glands of the gastrointestinal mucosa.When used for the diagnosis of gastrointestinal tumors, CA19-9 shows strong positive expression in pancreatic, hepatobiliary, and gastrointestinal adenocarcinomas, but it is not specific to these types of cancer;Many other organ-derived cancers can also show positive expression of CA19-9.Therefore, when this indicator is used for the diagnosis of primary pancreatic cancer, it requires the support of a panel of other indicators.



2



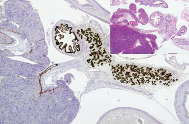
 PDX-1

Positive Expression Pattern: Nucleus

Recommended Positive Control Tissue: Pancreatic Tissue

 

PDX-1 (pancreatic and duodenal homeobox 1), also known as insulin promoter factor 1, is a transcription factor involved in pancreatic development, endocrine β-cell maturation, Brunner’s glands, duodenal papilla, and bile duct development. Normally, PDX-1 is strongly positive in endocrine cells of the adult upper gastrointestinal tract and pancreas, and is expressed in the pyloric duodenal and pancreatic mucosa.

图片

 Figure 1. This case is a 12-week embryonic tissue. Immunohistochemistryshows PDX-1 expression in pancreatic ducts, duodenal mucosa, and bile duct mucosa.

 

When used for tumor diagnosis, PDX-1 is strongly positive in pancreatic endocrine tumors and pancreatobiliary adenocarcinomas, the latter including gallbladder adenocarcinoma and cholangiocarcinoma. PDX-1 weak positivity is also seen in some colorectal adenocarcinomas. Other tumors that may show focal weak positive expression of PDX-1 include prostate cancer, lung cancer, breast cancer, thyroid cancer, liver cancer, splenic tumors, renal cancer, and skin cancer.



3



 S100P

Positive Expression Pattern: Cytoplasm/Nucleus

Recommended Positive Control Tissue: Pancreatic Cancer

 

S100 protein was first discovered in 1965 and named because it is 100% soluble in neutral saturated ammonium sulfate solution. To date, more than 20 members of the S100 protein family have been reported, including S100A1-15, S100B, S100P, etc. The amino acid sequence homology among different members varies. Although they share some similar properties, they have certain tissue specificity.
S100P is a member of the S100 family. In addition to the placenta, normal tissues that can express this marker include myocardium, skeletal muscle, leukocytes, and epithelium of the gastrointestinal tract, prostate, kidney, and bladder. S100P is expressed in various tumors, such as non-small cell lung cancer, breast cancer, pancreatic cancer including intraductal papillary mucinous neoplasms and precancerous lesions, gastric adenocarcinoma, colorectal adenocarcinoma, transitional cell carcinoma, ovarian cancer, and malignant melanoma.
Normal breast, normal and inflammatory pancreatic tissues do not express S100P. Therefore, this marker can be used for the diagnosis of pancreatic cancer and breast cancer, especially in small biopsy specimens and core needle biopsy specimens; however, S100P is negative in pancreatic endocrine tumors and acinar cell carcinoma. Prostate cancer and renal cell carcinoma are generally negative. The expression of S100P also has certain prognostic significance, with positivity generally indicating a poor prognosis.

 

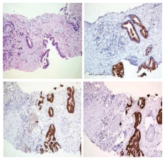
Common Immunohistochemical Indicators for Differential Diagnosis of Pancreatitis and Pancreatic Cancer

图片

图片

Figure 2. Core needle biopsy specimen of pancreatic ductal adenocarcinoma (top left). Immunohistochemistry shows malignant glands expressing CEA (top right) and IMP3 (bottom left), while these markers show very low positivity in islet cells. Malignant glands also express S100P (bottom right).



4



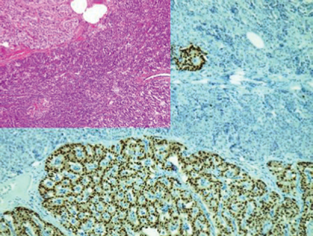
PAX-6

PAX-6 is a major transcription factor involved in the development of the central nervous system, endocrine glands, and sensory organs (such as the eyes and olfactory tissue). Neuroendocrine cells from different tissues express PAX-6, especially pancreatic endocrine cells and tumors derived from these cells. PAX-8 can also be used as a marker for pancreatic neuroendocrine tumors, but its specificity is not as good as PAX-6. 

图片

Figure 3. Pancreatic neuroendocrine tumor, G1. Immunohistochemistry shows tumor cells and endocrine cells in the islets expressing PAX-6.

1









Maimai: “CA19-9 is a tumor-associated carbohydrate antigen related to the Lewis A blood group antigen. Most gastrointestinal and pancreatic cancers express it positively, while tumors from other sites are less common. It is mainly used in the study of pancreatic cancer, colorectal adenocarcinoma, gastric cancer, and other tumors; it can also be used for the differential diagnosis of adenocarcinoma and mesothelioma. In pancreatic lesions,pancreatic cancer commonly shows positive expression of IMP3, but it is not expressed in benign pancreatic tumors, inflammatory pancreatic lesions, or normal pancreatic tissue, so it can be used for the differential diagnosis of pancreatic ductal adenocarcinoma. S100P is highly expressed in pancreatic ductal adenocarcinoma, while benign pancreatic ducts and acinar glands do not express it. Additionally,S100Pit is also one of the specific markers for urothelial carcinoma.

Antibody Name

Clone Number

Positive Control

Positive Location

CA19-9

121SLE

Pancreas, Colonic Adenocarcinoma

Cytoplasm

IMP3

EP286

Pancreatic Cancer, Colonic Adenocarcinoma

Membrane/Cytoplasm

S100P

16/f5

Pancreatic Cancer, Placenta

Nucleus/Cytoplasm



For more information, please contact: 800-8581156 or 400-889-9853

发表回复

您的邮箱地址不会被公开。 必填项已用 * 标注