The 11th Issue of “Mai Mai” Pathology Weekly Reading Notes | Immunohistochemical Markers for Gastrointestinal Tumors (Part 2): Mesenchymal Tumors
Preface:
In the previous article, we mentioned that “gastrointestinal specimens occupy a significant portion of the daily work of pathologists.” We compiled and introducedknowledge of commonly used immunohistochemical markers in gastrointestinal tumors. In this issue, we will introducein gastrointestinal tumorsepithelial tumorsthe knowledge of commonly used immunohistochemical markers. In this issue, we will introducethe mesenchymal tumor section.

Immunohistochemical Markers for Gastrointestinal Tumors: Mesenchymal Tumors
Table 1. Overview of Immunohistochemical Indicators for Gastrointestinal Mesenchymal Tumors

Remarks
-
Gastrointestinal stromal tumors with epithelioid morphology are generally CD117 negative;
-
In CD117-negative gastrointestinal stromal tumors,PDGFR-αpositive;
-
Nuclear and cytoplasmic staining.

Figure 1. Mesenteric fibromatosis, β-cateninstrongly positive expression in the nucleus.
CD117

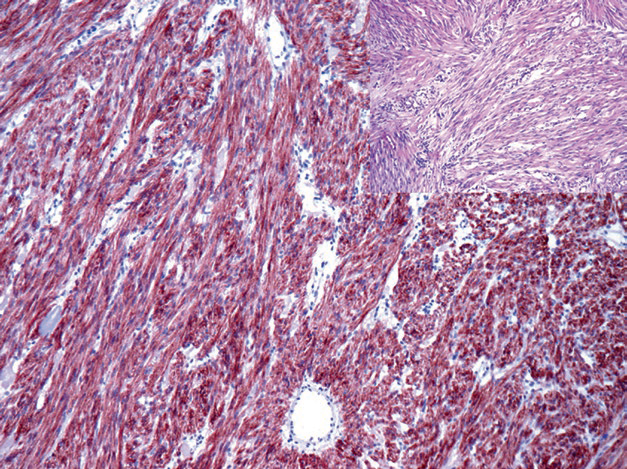
Figure 2. Gastrointestinal stromal tumor,CD117strongly positive.
Positive expression pattern: cell membrane/cytoplasm
Recommended positive control tissue: brain tissue
DOG1

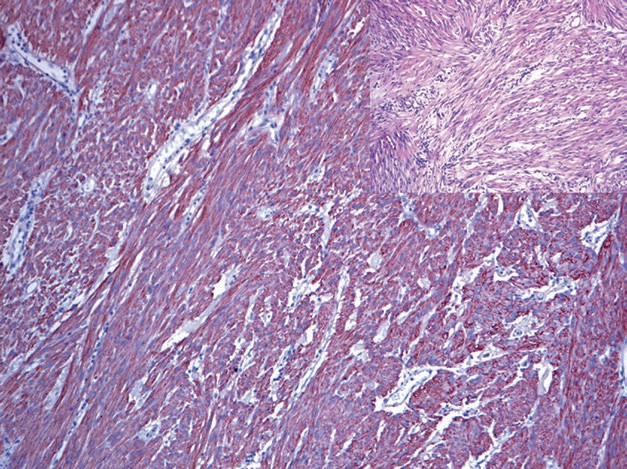
Figure 3. Gastrointestinal stromal tumor, DOG1strongly positive.
Positive expression pattern: cell membrane/cytoplasm
Recommended positive control tissue: gastrointestinal stromal tumor
PDGFR-α
CD34

Figure 4. Stromal cells in gastrointestinal inflammatory fibroid polyps expressCD34。
1
Maimai: “CD34 is mainly expressed in immature hematopoietic stem cells, myeloid cells, and vascular endothelial cells. It can identify endothelial cell differentiation, but the sensitivity for identifying blood vessels is not related to tumor grade. Over 85% of angiosarcomas and Kaposi sarcomas show positive CD34 expression. It is used in combination with CD117 for the diagnosis of gastrointestinal stromal tumors. Combined with the above,DOG1 is selectively expressed in gastrointestinal stromal tumors (GIST). Compared to CD117, DOG1 is a more sensitive and specific marker for GIST, regardless of whether the GIST has C-kit gene mutations or PDGFR-α gene mutations.”
|
Antibody Name |
Clone Number |
Positive Control |
Positive Location |
|
CD34 |
QBEnd/10 |
Hemangioma, liver |
Cell membrane/cytoplasm |
|
CD117 |
YR145 |
Gastrointestinal stromal tumor, seminoma |
Cell membrane/cytoplasm |
|
DOG1* |
MX067 |
Gastrointestinal stromal tumor |
Cell membrane/cytoplasm |
|
DOG1 |
SP31 |
Gastrointestinal stromal tumor | Cell membrane/cytoplasm |
*Marked as Maxin clone product
For more information, please contact: 800-8581156 or 400-889-9853