Hotspot Focus

Seventh Issue of “Mai Mai” Pathology Weekly Reading Notes | Immunohistochemical Markers for Respiratory Tract and Lung Tumors




Preface:


We have previously compiled and introduced knowledge points on common epithelial markers in immunohistochemistry. In clinical practice, immunohistochemistry for epithelial tumors in different organs and of various types has certain special characteristics beyond conventional epithelial markers, such as organ-specific markers. Starting from this issue, we will compile and introduce the immunohistochemical features of different organs and tumor types.



图片

Immunohistochemical Markers for Respiratory Tract and Lung Tumors


Simply put, immunohistochemical markers for respiratory tract and lung tumors can be divided into three situations:
  1. Immunohistochemical markers used for the diagnosis of upper respiratory tract tumors, such as certain CKs, CD56, Syn, CgA, EBV, NUT, p16;

  2. Immunohistochemical markers used for the diagnosis of pulmonary epithelial tumors, such as certain CKs, TTF-1, napsin A, p63, p40, CD56, surfactant proteins;

  3. Immunohistochemical markers used for the diagnosis of pulmonary mesenchymal tumors, such as CD1a, langerin (CD207), HMB45, STAT6, CD31, CD34, CD99.

Below, we will select some indicators for detailed introduction.


1



TTF-1

The Chinese name for TTF-1 is Thyroid Transcription Factor-1, also known as NKX2-1. Its function is to regulate the development, differentiation, and gene expression of the thyroid, and it also plays a regulatory role in the development and transcriptional activity of the lung and central nervous system (diencephalon). It should be noted that in normal adult thyroid, TTF-1 is expressed in both follicular cells and parafollicular cells (C cells); in normal lung tissue, TTF-1 is strongly positive in type II alveolar epithelial cells and Clara cells of bronchioles, with slightly lower expression in tracheal mucosa.

In routine immunohistochemical detection, TTF-1 is widely used as a sensitive and specific marker for most pulmonary bronchial adenocarcinomas, pulmonary small cell carcinomas, thyroid follicular carcinomas, papillary carcinomas, and medullary carcinomas, with reduced expression in pulmonary large cell carcinomas and thyroid anaplastic carcinomas. Pulmonary squamous cell carcinomas are generally negative, although it has been reported that certain clones such as SPT24 show low-level expression in a minority of pulmonary squamous cell carcinomas.

图片

 Figure 1. Strong nuclear positive expression of TTF-1 in pulmonary small cell carcinoma.

图片

Figure 2. Strong nuclear positive expression of TTF-1 in pulmonary adenocarcinoma.

 

Although TTF-1 is relatively specific for lung and thyroid tumors, its positive expression can also be seen in various extra-pulmonary tumors, such as small cell carcinomas of the bladder and ovary, and Merkel cell carcinoma. Abnormal expression of TTF-1 is observed in about half of cholangiocarcinomas and gallbladder adenocarcinomas, while non-neoplastic bile duct epithelium does not express TTF-1. Certain tumors of the uterus and ovary (such as malignant mixed mesodermal tumors) may rarely show positive expression of TTF-1.
When searching for the primary site of metastatic tumors in the brain, it should also be considered that various types of central nervous system tumors can express TTF-1, especially tumors located in the third ventricle. Tumors of the neurohypophysis (such as pituicytoma) and granular cell tumors in the sellar region can also show nuclear positive expression of TTF-1.
Additionally, if the antibody clone used for TTF-1 immunohistochemistry is 8G7G3/1, strong cytoplasmic staining may appear in hepatocytes and hepatocellular carcinomas. This may be due to cross-reactivity of this clone’s antibody with a 150-160Kda mitochondrial protein, although this situation can also be used for diagnostic marking.

 

Positive expression pattern: Nuclear

Recommended positive control tissue: Thyroid



2



Napsin A

Napsin A is expressed in most pulmonary adenocarcinomas but not in other types of primary lung cancers, making it a specific marker for pulmonary adenocarcinoma. Generally, napsin A expression is accompanied by TTF-1 expression, but there are a small number of pulmonary adenocarcinomas that are Napsin A positive and TTF-1 negative. Mesothelial-related tumors do not express Napsin A.

图片

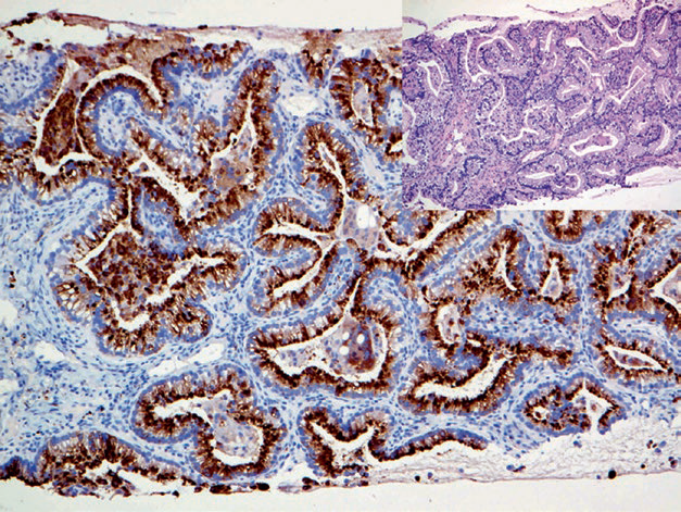
 Figure 3. Metastatic pulmonary adenocarcinoma, immunohistochemistry shows strong cytoplasmic positive expression of Napsin A.

 

Non-pulmonary tumors can also express Napsin A, specifically: low-level expression of Napsin A can be seen in papillary renal cell carcinoma and a small portion of clear cell renal cell carcinoma; about 90% of endometrial carcinomas, ovarian clear cell carcinomas, and about one-third of extrahepatic cholangiocarcinomas express Napsin A, with the latter possibly also showing positive expression of TTF-1.
It has been reported that a minority of colorectal adenocarcinomas, esophageal adenocarcinomas, and pancreatic adenocarcinomas also show weak positive expression of Napsin A. Since these types of adenocarcinomas may morphologically resemble pulmonary adenocarcinoma, especially in metastatic settings, making differentiation difficult, comprehensive application of a panel of immunohistochemical markers should be noted for definitive diagnosis.

 

Positive expression pattern: Cytoplasmic

Recommended positive control tissue: Lung tissue



3



Surfactant Proteins

Surfactant proteins include various proteins, specifically classified as A, B, C, D; these proteins, along with surfactant precursors, are synthesized by type II alveolar epithelial cells and Clara cells of bronchioles. Antibodies against surfactant proteins are good markers for pulmonary adenocarcinoma, while pulmonary squamous cell carcinoma, large cell carcinoma, and non-pulmonary adenocarcinomas are generally negative.
It should be noted that in certain types of breast cancer, a minority of cases may also express some surfactant proteins. Histiocytes in serous cavity effusions may show positive expression of surfactant proteins. Therefore, the diagnosis of primary or metastatic pulmonary adenocarcinoma must be closely combined with clinical, microscopic findings, and a panel of immunohistochemical results including TTF-1.

 

Positive expression pattern: Cytoplasmic

Recommended positive control tissue: Lung tissue



4



Nuclear Protein in Testis

Nuclear Protein in Testis (NUT) is normally expressed in testicular tissue. NUT midline carcinoma is a rare, highly malignant carcinoma mainly found in midline sites such as the larynx and head and neck. Due to the characteristic molecular genetic t(15;19) translocation leading to NUT protein expression, this antibody can serve as a specific marker for NUT midline carcinoma. However, it has also been reported that primary and metastatic seminomas show weak positive expression of NUT.

图片

Table 1. Key Points of Immunohistochemistry for Differential Diagnosis of Upper Respiratory Tract Tumors 

图片

Table 2. Key Points of Immunohistochemistry for Differential Diagnosis of Lung Tumors

 

Notes for Table 2

  1. In pulmonary squamous cell carcinoma, up to 30% may show CK7 positive expression; therefore, when classifying lung cancer, attention should be paid to adding a panel of markers such as TTF-1, Napsin A, p40;

  2. p16 can be used to differentiate between primary pulmonary squamous cell carcinoma (negative) and metastatic oropharyngeal squamous cell carcinoma (mostly positive due to HPV infection);

  3. Poorly differentiated pulmonary adenocarcinoma may show loss of TTF-1 expression;

  4. Often positive in poorly differentiated pulmonary adenocarcinoma;

  5. Nuclear positive;

  6. Generally seen in poorly differentiated carcinomas;

  7. Often shows comma-shaped staining;

  8. If the antibody clone used is MIB-1, atypical cell membrane and cytoplasmic staining may be seen.

1









MaiXin: Different clones of the same antibodyhave differences in sensitivity and positive expression. For example, TTF-1 with clone numbers “MX011” or “SPT24” has higher sensitivity in tumors of lung and thyroid origin compared to “8G7G3/1”, with cell localization being nuclear for both; but “8G7G3/1” can show unique cytoplasmic positive expression in hepatocytes and hepatocellular tumors, while “MX011” and “SPT24” do not exhibit this phenomenon,thereforeinthe differential diagnosis of tumors, the selection of immunohistochemical antibody clones is also very important

Antibody Name

Clone Number

Positive Control

Positive Location

TTF-1*

MX011

Lung adenocarcinoma, Thyroid

Nuclear

TTF-1

SPT24

Lung adenocarcinoma, Thyroid

Nuclear

TTF-1

8G7G3/1

Lung adenocarcinoma, Thyroid

Nuclear

Nasin A*

MX015

Lung adenocarcinoma Cytoplasmic

*Marked as MaiXin clone products 


For more information, please contact: 800-8581156 or 400-889-9853

发表回复

您的邮箱地址不会被公开。 必填项已用 * 标注