
Succinate dehydrogenase (SDH) is a key mitochondrial enzyme complex located in the inner mitochondrial membrane, playing an important role in oxidative phosphorylation, intracellular oxygen sensing, and signaling. SDH consists of four subunits (A, B, C, D), and mutations in any subunit can lead to functional instability or even loss of function. Mutations in the B and D subunit genes (SDHB and SDHD) can cause paraganglioma syndrome, resulting in paragangliomas and pheochromocytomas (collectively known as PPGL). With further research, various SDH-deficient tumors have been discovered in other locations, such as SDH-deficient gastrointestinal stromal tumors and SDH-deficient renal cell carcinoma, all associated with SDHx subunit gene mutations.
Clinically, ‘SDH-deficient tumors’ refer to all tumors showing loss of SDHB expression. This is because when any component of the SDH complex undergoes biallelic inactivation or germline subunit mutation, SDHB IHC staining is negative. The specific mechanism is not fully understood, but many studies have found that SDHB loss occurs more frequently compared to other subunit deficiencies and is associated with a higher risk of malignancy. Therefore, negative SDHB IHC staining is a marker for SDH-deficient tumors. SDHB IHC testing is recommended for all suspected SDH-deficient tumors.
■ Screening for Hereditary Paraganglioma and Pheochromocytoma (PPGL)
A significant proportion of paragangliomas (PGL) and pheochromocytomas (PCC) occur in patients with hereditary PPGL syndrome. The onset of PPGL has been linked to gene mutations, with germline SDHx subunit mutations found in up to 20% of PPGL patients. Determining whether a tumor has SDHx mutations is crucial for guiding treatment, follow-up, and screening in PPGL patients. Choi et al. conducted SDHB IHC analysis on samples from 41 patients with hereditary PGL/PCC syndrome and found a positive correlation between SDHx subunit gene mutation status and SDHB IHC status (rφ = 0.77; P < .0001). SDHB demonstrated high sensitivity, specificity, positive predictive value, and negative predictive value (95.0%, 81.8%, 82.6%, and 94.7%, respectively) in identifying SDH-deficient tumors.
■ Subtype Diagnosis of Gastrointestinal Stromal Tumors (GIST)
Succinate dehydrogenase (SDH)-deficient GIST is a distinct type of GIST defined by loss of SDHB immunohistochemical expression, indicating mitochondrial complex dysfunction. SDH-deficient GIST accounts for about 50% of wild-type GISTs. This subtype is clinically associated with Carney’s triad (GIST, pheochromocytoma, and pulmonary chondroma) or Carney-Stratakis syndrome (familial GIST and pheochromocytoma), rarely harbors Kit and PDGFRA gene mutations, and has unique morphological features. It typically presents as a lobulated mass in the stomach, where prognosis cannot be determined based on tumor size and mitotic count. Lymph node metastasis is common, and it is resistant to imatinib treatment.
■ Differential Diagnosis of SDH-Deficient Renal Cell Carcinoma Subtype
SDH-deficient renal cell carcinoma is a new category in the 2016 WHO classification of renal tumors. This type of tumor has distinctive histological features: tumor cells are arranged in solid, nested, or tubular patterns; the cytoplasm is abundant, mildly eosinophilic, and uneven, containing pale or vacuolated large inclusions. 75% of SDH-deficient renal cell carcinomas are low-grade tumors with a favorable prognosis. SDHB IHC testing helps differentiate SDH-deficient renal cell carcinoma, aiding in treatment guidance and individualized patient management.
SDHB Testing and Interpretation
SDHB is a reliable and specific surrogate marker for SDHx mutations. However, interpretation of SDHB IHC staining results requires caution, as SDHB exhibits various staining patterns: 1. Tumor cells are negative, while internal control non-tumor cells (such as endothelial cells, stromal cells, or inflammatory cells) are positive; 2. Distinct granular cytoplasmic positivity (mitochondrial staining); 3. Diffuse, uniform light brown cytoplasmic staining in tumor cells, differing from the granular mitochondrial positivity in internal controls, should be interpreted as negative; 4. In renal cell carcinoma, clear cytoplasm in tumor cells indicates inaccurate staining results and requires further evaluation.

Figure 1. Paraganglioma tumor cells show loss of expression (SDHB negative)

Figure 2. Pheochromocytoma cells show diffuse pale cytoplasmic staining (SDHB negative)

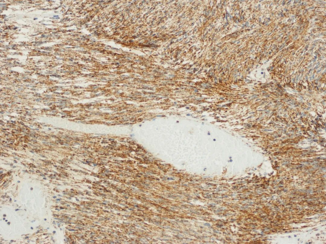
Figure 3. Granular cytoplasmic staining in gastrointestinal stromal tumor (SDHB positive)

Figure 4. Granular cytoplasmic staining in clear cell renal cell carcinoma (SDHB positive)
Related Antibodies from Maxin
|
Antibody Name
|
Product Number
|
Clone Number
|
Cellular Localization
|
|
SDHB
|
MAB-0888
|
MX096
|
Cytoplasm
|
References:
1.Chien Kuang,Cornelia Ding,Salina Chan et al. An exploration in pitfalls in interpreting SDHB immunohistochemistry,His-topathology,Pub Date : 2022-05-11 , DOI: 10.1111/his.14681
2.Choi, H.-R., Koo, J.-S., Lee, C.-R., Lee, J.-D., Kang, S.-W., Jo, Y.-S., & Chung, W.-Y. (2021). Efficacy of Immunohistochemistry for SDHB in the Screening of Hereditary Pheochromocytoma Paraganglioma. Biology, 10(7), 677. doi:10.3390/biology10070677
3.Udager, A. M., Magers, M. J., Goerke, D. M., Vinco, M. L., Siddiqui, J., Cao, X., … Mehra, R. (2018). The utility of SDHB and FH immunohistochemistry in patients evaluated for hereditary paraganglioma-pheochromocytoma syndromes. Human Pathology, 71, 47–54. doi:10.1016/j.humpath.2017.10.013
4. Gao Dalin, He Huiying. Significance of Succinate Dehydrogenase Complex Variants in Tumor Pathological Diagnosis [J]. Chinese Journal of Pathology, 2021, 50(2): 159-163. DOI: 10.3760/cma.j.cn112151-20200714-00558.
5. [1] Shi Chuan, Zeng Zhengpei, Zhao Dachun, et al. Application of Succinate Dehydrogenase B and C Immunohistochemistry in Differentiating Benign and Malignant Pheochromocytomas and Paragangliomas [J]. Chinese Journal of Endocrinology and Metabolism, 2018, 34(6): 7.
For more information, please contact: 800-8581156 or 400-889-9853