Hotspot Focus

Role of SMA Expression in Different Tumors




Introduction:


Smooth muscle actin (SMA) is an actin that marks smooth muscle and can be used for the differential diagnosis of leiomyosarcoma, gastrointestinal stromal tumors, breast ductal carcinoma in situ, and invasive ductal carcinoma of the breast. However, recent studies have shown that SMA can be involved in the occurrence and development of various tumors such as colorectal cancer, oral squamous cell carcinoma, cervical cancer, and lung cancer. Therefore, this article summarizes and reviews the role of SMA expression in these four types of tumors, hoping to provide reference significance for the daily diagnostic work of teachers.


图片

图片


01

Overview of SMA



SMA is a ubiquitous cytoskeletal protein encoded by the ACTA2 gene located at 10q22-q24, also known as α-actin-2. The expression of this protein is regulated by hormones and cell proliferation, and altered by pathological conditions such as oncogenic transformation. It is a marker of cancer-associated fibroblasts (CAFs). SMA is not only expressed in tumors such as leiomyosarcoma, gastrointestinal stromal tumors, breast ductal carcinoma in situ, and invasive ductal carcinoma of the breast, but also highly expressed in various tumors including colorectal cancer, oral squamous cell carcinoma, cervical cancer, and lung cancer. It is often associated with clinical indicators such as the occurrence, development, prognosis, and response to radiotherapy and chemotherapy of these tumors.


02

The Role of SMA Expression in Colorectal Cancer



There are a large number of CAFs in colorectal cancer tissues, which can secrete a large amount of growth factors, activate the mitogen-activated protein kinase and phosphoinositide 3-kinase/protein kinase B signaling pathways, promote the proliferation of colorectal cancer cells, provide substances required for the growth and metabolism of colorectal cancer cells, induce tumor angiogenesis, and inhibit the homing of immune cells, forming a microenvironment conducive to tumor growth, and promoting the invasion and metastasis of colorectal cancer cells. High expression of SMA is one of the main characteristics of CAFs, and therefore it is closely related to the progression and metastasis of colorectal cancer.
Sun Zhao et al. analyzed the relationship between SMA expression and clinical characteristics and prognosis in 103 colorectal cancer patients, finding 25 cases with high SMA expression and 78 cases with low SMA expression. The disease-free survival outcome of patients with low SMA expression was better than that of patients with high SMA expression (P < 0.05). Among patients with TNM stage III, the 3-year cumulative disease-free survival rate of patients with high SMA expression was 30.8%, significantly lower than the 75.0% of patients with low SMA expression (P < 0.05), indicating that the expression of SMA in colorectal cancer tissues is associated with shorter disease-free survival in colorectal cancer patients, can be involved in the occurrence and development of colorectal cancer, and is an independent biomarker for predicting the prognosis of colorectal cancer.

图片
Figure 1. Expression of SMA in CAFs of colorectal cancer tissue (immunohistochemical staining, ×400)

In addition, related research by this team also found that the expression of SMA is associated with primary resistance to chemotherapy with oxaliplatin combined with fluorouracil drugs, and can serve as a biomarker for predicting the efficacy of chemotherapy in advanced colorectal cancer.



03

The Role of SMA Expression in Oral Squamous Cell Carcinoma



Liu Nian et al. conducted an IHC study on SMA in 80 patients with oral squamous cell carcinoma and found a strong positive rate of SMA of 31%, but SMA was almost undetectable in normal oral mucosa. In SMA-positive samples, CAF cytoplasm appeared brown-yellow, mostly concentrated at the invasive front of the cancer tissue, close to cancer cells, and distributed in a layered ring around “large cancer cell islands” (as shown in Figure 2 A), while in “small cell clusters” or “diffuse scattered patterns,” it was distributed in an irregular dense pattern (as shown in Figure 2 B). Furthermore, the study found that the median survival time of patients with high SMA expression was 36 months, while that of patients with low SMA expression was 71 months, showing a certain difference. Therefore, the expression of SMA in oral squamous cell carcinoma can serve as a valuable indicator for clinical prognosis and diagnostic testing.

Figure 2. Expression of SMA in oral squamous cell carcinoma tissue

Dourado M R et al. used multiple databases to systematically analyze the correlation between IHC studies of SMA and prognosis in oral squamous cell carcinoma patients. They found that high expression of SMA in the stroma of oral squamous cell carcinoma predicts shorter disease-free survival and is associated with factors affecting the prognosis of oral squamous cell carcinoma, such as advanced stage (TNM grade), recurrence, depth of invasion, vascular, lymphatic, and neural invasion, and extranodal metastasis, indicating that SMA can serve as an effective marker for predicting the prognosis of oral squamous cell carcinoma.


04

The Role of SMA Expression in Cervical Cancer



Yang Xiaoming et al. studied SMA expression in 120 cervical cancer patients and found that the intensity of SMA expression was closely related to the clinical stage of cervical cancer. The positive rate of SMA protein gradually increased with the increase in clinical stage of cervical cancer patients (p < 0.05). Kaplan-Meier survival analysis showed that SMA is related to the prognosis of cervical cancer patients; the higher the positive degree, the worse the patient's prognosis (χ2 = 6.447, P < 0.05). The survival period of patients with SMA (+++) expression was the longest at 60 months, indicating that the expression of SMA can serve as an important marker for the clinical diagnosis of cervical cancer and the prognosis judgment of patients.
Yuan Na et al.’s research indicated that the positive expression of SMA is related to lymph node metastasis and para-aortic lymph node metastasis in cervical cancer, and the increase in SMA positive expression can serve as an indicator for predicting the development and prognosis of cervical cancer after concurrent chemoradiotherapy.


05

The Role of SMA Expression in Lung Cancer



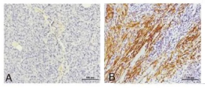
Liu Xuewu et al. conducted an IHC study on SMA in 66 lung cancer tissues and compared them with 66 healthy individuals. They found that in lung cancer patients, SMA positive expression appeared as a brown-yellow diffuse distribution (as shown in Figure 3), with a positive rate of 71.21%, but there was no SMA expression in adjacent tissues or normal tissues. Moreover, the 2-year survival rate of SMA-positive patients (8.51%) was significantly lower than that of SMA-negative patients (52.63%, p < 0.05), indicating that SMA can serve as an effective indicator for the diagnosis and prognosis prediction of lung cancer.
In addition, the study also found that the effective rate of radiotherapy and chemotherapy in SMA-positive patients was significantly lower than that in the SMA-negative group, and the toxic side effects such as radiation esophagitis and pneumonia were significantly higher than in the negative group, suggesting that the expression of SMA in lung cancer may become a new biological target for radiotherapy and chemotherapy in lung cancer patients.

图片

Figure 3. Expression of SMA in lung cancer tissue (A: SMA negative expression; B: SMA positive expression)


In summary, SMA is highly expressed in colorectal cancer, oral squamous cell carcinoma, cervical cancer, and lung cancer, and its roles are as follows:
  1. It can serve as an independent biomarker for predicting the prognosis of colorectal cancer, and also as a biomarker for predicting the efficacy of chemotherapy in advanced colorectal cancer;

  2. It can serve as an effective marker for predicting the prognosis of oral squamous cell carcinoma;

  3. It can serve as an important marker for the clinical diagnosis of cervical cancer and the prognosis judgment of patients, and also as an indicator for predicting the development and prognosis of cervical cancer after concurrent chemoradiotherapy;

  4. It can serve as an effective indicator for the diagnosis and prognosis prediction of lung cancer, and may become a new biological target for radiotherapy and chemotherapy in lung cancer patients.




Related Antibodies from Maixin



Antibody Name

Product Number

Clone Number

Cellular Localization

SMA

MAB-0890

MX097

Cytoplasm

References:

[1] Sun Zhao, Li Zhe, Gu Junjie, et al. Expression and clinical significance of α-smooth muscle actin in colorectal cancer tissues [J]. Oncology Progress, 2019, 17(22):2698-2671

[2] Gu Junjie, Sun Zhao, Zhao Lin, et al. Significance of α-smooth muscle actin expression in predicting chemotherapy efficacy and prognosis in advanced colorectal cancer [J]. Acta Academiae Medicinae Sinicae, 2019, 41(01):69-73

[3]Dourado, Mauricio, Rocha, et al. Prognostic value of the immunohistochemical detection of cancer‐associated fibroblasts in oral cancer: A systematic review and meta‐analysis[J]. Journal of oral pathology and medicine, 2018.

[4] Liu Nian, Peng Yan, Zheng Jinhua. Correlation between invasion patterns of oral squamous cell carcinoma and expression of α-SMA and collagen fibers and its impact on prognosis. Journal of Oncology, 2016, 22(9):727-732.

[5] Yang Xiaoming, Li Caihong, Sun Dongxia, et al. Analysis of the expression and clinical significance of α-SMA and TIMP in cervical cancer patients [J]. Oncology Progress, 2016(7):651-653.

[6] Yuan Na, Wang Lei, Xi Qiang, et al. Expression and significance of hypoxia-inducible factor-1α and α-smooth muscle actin in cervical cancer [J]. Chinese Journal of Postgraduates of Medicine, 2020, 43(1):11-16.

[7]Hu G , Zhong K , Chen W , et al. Podoplanin-positive cancer-associated fibroblasts predict poor prognosis in lung cancer patients[J]. OncoTargets and Therapy, 2018, Volume 11:5607-5619.

[8] Liu Xuewu, Liu Min, Liu Yi, et al. Expression of α-smooth muscle actin and hypoxia-inducible factor-1α in lung cancer and their impact on the efficacy of radiotherapy and chemotherapy [J]. Health Research, 2021, 41 (4): 402-405.

发表回复

您的邮箱地址不会被公开。 必填项已用 * 标注