Maimai’s Pathology Weekly Reading Notes Issue 9 | Immunohistochemical Markers for Oral Tumors and Salivary Gland Tumors
Preface:
When it comes to the types of oral and salivary gland tumors, there are many confusing and hard-to-remember termsthat always come rushing in, quitegiving a feeling of being tangled and hard to sort out. To facilitate memory, this issue’s content will summarize and organizeOral andSalivary Gland Tumors’immunohistochemical markers, hoping to be helpful for the daily work of pathology teachers.

Immunohistochemical Markers for Oral Tumors
Table 1. Summary of Immunohistochemical Markers for Some Oral Tumors

(Click to view larger image)
Immunohistochemical Markers for Salivary Gland Tumors
Table 2. Summary of Immunohistochemical Markers for Common Salivary Gland Tumors

(Click to view larger image)
Note:
-
If the antibody clone used is MIB-1, atypical cell membrane and cytoplasmic staining may occur;
-
Carcinoma with t(12;15)(p13;q25) translocation.
Detailed Explanation of Individual Immunohistochemical Markers for Salivary Gland Tumors
CK

Figure 1. CK expression in different cells of adenoid cystic carcinoma: left side shows CK7, positive in ductal luminal cells; right side shows p63, positive only in basal cells.
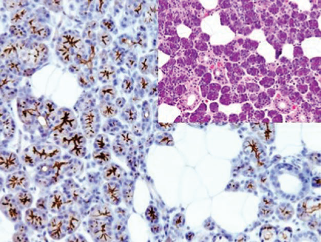
DOG-1

Figure 2. DOG-1 expression on the apical surface of parotid gland acinar cells.
α-Amylase
1
Maimai:”DOG1 is a calcium-regulated chloride channel protein encoded by the TMEM16A gene located on chromosome 11q13. It is selectively expressed in gastrointestinal stromal tumors (GIST). Compared to CD117, DOG1 is a more sensitive and specific marker for GIST, regardless of whether the GIST has a C-kit gene mutation or a PDGFR-α gene mutation.”
|
Antibody Name |
Clone Number |
Positive Control |
Positive Location |
|
DOG1* |
MX067 |
Gastrointestinal Stromal Tumor |
Cell Membrane/Cytoplasm |
|
DOG1 |
SP31 |
Gastrointestinal Stromal Tumor |
Cell Membrane/Cytoplasm |
*Marked as Maxim clone product
For more information, please contact: 800-8581156 or 400-889-9853