
Overview of Immunohistochemistry for Adipose Tumors
Commonly used immunohistochemical markers for adipose tumor diagnosis include S100, CD34, MDM2, CDK4, and p16.
Table 1. Commonly Used Immunohistochemical Markers for Adipose Tumor Diagnosis

(Click to view larger image)
Detailed Explanation of Some Markers
Positive expression pattern: nuclear/cytoplasmic
Recommended positive control tissue: liposarcoma
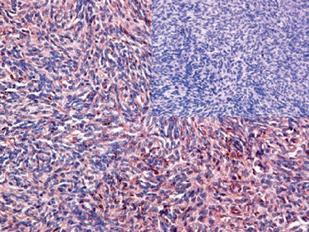
MDM2, also known as E3 ubiquitin-protein ligase, is a nuclear phosphoprotein that interacts with p53 and affects the cell cycle and apoptosis. Overexpression of MDM2 is seen in many tumors, and its main diagnostic application is to differentiate benign lipomas from well-differentiated liposarcomas. MDM2 is also overexpressed in osteosarcomas but not in benign fibro-osseous lesions, which helps distinguish between these two conditions.

Figure 1. Tumor cells express MDM2 in dedifferentiated liposarcoma.
As mentioned earlier, MDM2 expression or overexpression can be seen in many sarcomas, so attention should be paid in actual differential diagnosis. It should also be noted that the antibody with clone number SMP14 for MDM2 cross-reacts with various CKs, such as CK6, CK14, and CK16, and may therefore show positive expression in squamous epithelium and squamous cell carcinoma.
Cyclin-dependent kinase 4 (CDK4) is a nuclear enzyme involved in cell cycle regulation. Normally, CDK4 is expressed in various normal and neoplastic cells, but it is overexpressed in certain epithelial tumors and mesenchymal tumors, the latter specifically including liposarcoma, osteosarcoma, some malignant peripheral nerve sheath tumors, and rhabdomyosarcoma. Therefore, CDK4 can be used to differentiate such malignant tumors from benign lesions with similar morphological appearances, such as benign adipose-derived tumors, benign fibro-osseous lesions, schwannomas, and neurofibromas. Overexpression of CDK4 is also seen in malignant melanoma, glioma, and various carcinomas of the stomach, lung, ovary, and breast.
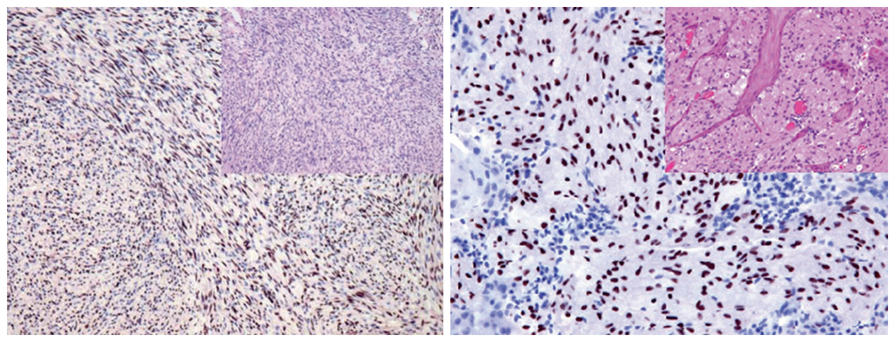
p16 is a tumor suppressor protein expressed in several carcinomas and HPV-related squamous cell carcinomas of different origins. This marker helps differentiate well-differentiated and dedifferentiated liposarcomas from benign lipomas and normal adipose tissue: the former two are p16 positive while the latter two are p16 negative. However, p16 is not a specific marker for liposarcoma; many other malignant mesenchymal tumors may also show positive p16 expression; p16 positivity can also occur in areas of fat necrosis.

Figure 2. (Left) Atypical lipomatous tumor, with strong nuclear expression of p16; (Right) Dedifferentiated liposarcoma, with tumor cells strongly positive for p16.
Overview of Immunohistochemistry for Peripheral Nerve Tumors and Nerve Sheath Tumors
Commonly used immunohistochemical markers for the diagnosis of peripheral nerve and nerve sheath tumors include S100, CD56, PGP9.5, myelin basic protein (MBP), glial fibrillary acidic protein (GFAP), and neurofilaments (NF).
Table 2. Commonly Used Immunohistochemical Markers for Peripheral Nerve Tumors and Nerve Sheath Tumors Diagnosis

Detailed Explanation of Some Markers
Positive expression pattern: cytoplasmic
Recommended positive control tissue: brain tissue
Myelin basic protein (MBP) is a major component of myelin, produced by oligodendrocytes and Schwann cells. This protein is localized in the myelin surrounding nerve fibers in the central and peripheral nervous systems and plays a role in the formation and stabilization of neuronal structures. Antibodies against MBP are used to label neuromas, neurofibromas, and neurogenic sarcomas but are negative in other spindle cell tumors.
Positive expression pattern: cytoplasmic
Recommended positive control tissue: brain tissue
Neurofilaments (NF) are intermediate filament proteins composed of four subunits forming heteropolymers. Neurofilaments are the main cytoskeletal components in axons and dendrites of the central and peripheral nervous systems, providing support for neural structures, regulating axon diameter, and transmitting electrical impulses.
Neurofilaments are good markers for tumors derived from neurons and ganglion cells and can also label tumors with neuronal differentiation. Rarely, certain non-neurogenic tumors may also show positive expression of this marker, such as rhabdomyosarcoma, epithelioid sarcoma, and some rare types of carcinoma.
Positive expression pattern: cytoplasmic
Recommended positive control tissue: brain tissue
Protein gene product 9.5 (PGP9.5; also known as ubiquitin carboxyl-terminal hydrolase-1) is an enzyme involved in the cleavage of cytoplasmic and nuclear proteins. This is a neuron-specific protein expressed in the central nervous system, peripheral nervous system, and neuroendocrine tissues. PGP9.5 antibodies are good markers for neurogenic tumors and neuroendocrine tumors. However, this marker has low specificity and can be expressed in various non-neurogenic tumors.

Figure 3. Tumor cells of neurogenic sarcoma express PGP9.5.
SOX-10 is a neural crest transcription factor involved in the maturation and differentiation of melanocytes and Schwann cells. Normally, SOX-10 is expressed in melanocytes, Schwann cells, and myoepithelial cells. Therefore, SOX-10 can be seen in melanocytic tumors, schwannomas, neurofibromas, granular cell tumors, and clear cell sarcomas, with up to 60% of malignant peripheral nerve sheath tumors also being SOX-10 positive.

Figure 4. SOX-10 shows strong nuclear expression in neurofibroma (left) and granular cell tumor (right).
MaiMai Recommendation: “Achieve twice the result with half the effort, starting with choosing an excellent antibody. This issue of MaiMai recommends the following antibodies to help you easily stain beautiful slides.”
|
Antibody Name
|
Clone Number
|
Positive Control
|
Cellular Localization
|
|
CDK4
|
EP180
|
Liposarcoma, Osteosarcoma
|
Nuclear/Cytoplasmic
|
|
MBP
|
Polyclonal
|
Glioma, Neurofibroma
|
Cytoplasmic
|
|
NF
|
2F11
|
Glioma, Appendix
|
Cytoplasmic
|
| MDM2 |
1F2 |
Liposarcoma |
Nuclear |
|
p16*
|
MX007
|
Cervical Squamous Cell Carcinoma, Tonsil
|
Nuclear/Cytoplasmic
|
|
PGP9.5
|
Polyclonal
|
Colon, Appendix
|
Cytoplasmic/CytoplasmicNuclear
|
| SOX-10 |
EP268 |
Schwannoma, Malignant Melanoma |
Nuclear
|
*Marked as Maxin clone products
For more information, please contact: 800-8581156 or 400-889-9853